了解醫院最新資訊

鎖骨骨折錯位那么大!還能長好嗎?
針對兒童鎖骨骨折,一般情況下醫師只給予簡單8字繃帶外固定,有時鎖骨骨折斷端出現比較大的移位,孩子家長就會非常緊張,生怕孩子出現骨折后遺癥影響體態,盯著醫師反復問:錯位這么大!會長好嗎?不會有后遺癥吧?要不要手術治療?等等,下面就對相關問題進行解答:
兒童精力旺盛、好動,缺乏自我保護意識,容易造成外傷骨折。鎖骨骨折在10歲以下兒童中較為常見,在全身骨折中的占比為6%。
鎖骨解剖:

鎖骨是介于外側肩峰和內側胸骨間的雙曲度的扁骨,主要有美觀、保護鎖骨下結構、肌肉附著點、肩胛骨的支撐結構及對上肢支撐幾方面的功能。鎖骨中段骨折占所有骨折的80%,而內1/3、外1/3分別占鎖骨骨折的5%和15%。鎖骨內1/3對深層的臂叢神經、鎖骨下靜脈、腋靜脈、肺尖部等重要器官起到保護作用,該部位骨折可合并嚴重并發癥。

PART 01為什么會鎖骨骨折?
間接暴力:如墜床、跌倒等,當跌倒時手掌、肘部或肩部著地,沖擊力上傳到鎖骨而致骨折,多為斜行或橫行骨折,其部位多發生于中外1/3處。
直接暴力:如運動沖撞,沖擊力直接作用于鎖骨處,造成骨折因著力點不同而異,多為粉碎或橫行骨折。
PART 02鎖骨骨折有什么癥狀?
1. 有跌傷史。
2. 疼痛:兒童在壓迫鎖骨或活動肩、臂時可有明顯的疼痛主訴。
3. 腫脹、淤血:患兒鎖骨骨折后,可能會導致局部的軟組織挫傷,容易伴隨明顯的腫脹,有的還伴有皮下瘀斑。
活動受限:移位性鎖骨骨折會伴隨上肢活動受限,如穿衣困難,無移位性患兒上肢活動大致正常。
PART 03鎖骨骨折該怎么治療?

首先需了解兒童骨折的特點,兒童時期是人一生中生長發育最旺盛最活躍的階段,其骨骼系統的生長發育從組織解剖、力學性能、損傷及愈合特點與成年人比有明顯的區別。因為兒童的骨膜比較厚,血供豐富,生長愈合能力比成人好,并且因為厚的骨膜具有一定保護作用,不容易形成開放性骨折。兒童骨骼含有機物比成人多,故骨骼彈性大,硬度低,雖然骨折比成人更容易發生,但青枝骨折或移位較小的骨折比較多見。
不能完全以治療成人骨折的原則和方法來對待兒童骨折。骨折無明顯錯位、分離,或骨折斷端未損傷血管、神經,未刺破肌肉皮膚的均可采取保守治療。兒童鎖骨重塑形能力強,即使出現重疊、成角移位也可給予8字繃帶固定制動,通過自身發育塑形,主要目的是恢復鎖骨長度并減輕患兒疼痛癥狀,骨折均可完全骨性愈合。
PART 04什么情況下需要手術治療?
還是有一部分兒童的鎖骨骨折不可避免手術治療:
1. 開放性骨折,骨折端戳破皮膚。
2. 骨折移位壓迫血管、神經或重要臟器出現嚴重并發癥的。
3. 多段性骨折、骨折段嚴重位移或錯位的。
雖然術后骨折愈合與肩關節功能恢復療效尚可,但是畢竟手術處理需要二次手術再次去除內固定材料,且會形成體表瘢痕,因此兒童鎖骨骨折只在必要時采取手術治療。
病例分享:
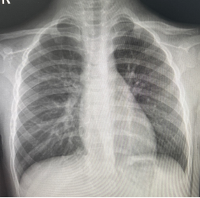
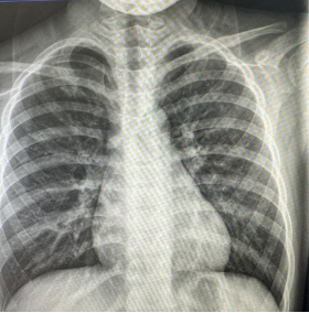
朱某,男,2016-3-15出生,因“跌倒致左肩疼痛伴活動受限2小時”2019年12月12日來我院門診。檢查發現左鎖骨區見腫脹、畸形,明顯壓痛,左肩活動受限。本院X線攝片示:左鎖骨骨折,斷端明顯重疊移位(圖1),予以8字繃帶外固定制動,定期隨訪。2020年1月17日復診述左肩無腫痛,活動基本正常,攝片示:左鎖骨骨折,斷端對線欠佳,局部明顯骨痂形成(圖2)。2020年6月8日再次復查攝片示:左鎖骨骨折,斷端對線可,已骨性愈合(圖3)。2023年9月26日再復查攝片示:左鎖骨骨折部位已完成塑形,與健側無明顯差異(圖4)。

圖1

圖2 明顯見骨痂形成

圖3

圖4
最后,提醒各位家長朋友,如果孩子懷疑鎖骨骨折,應盡快到醫院完善相關檢查,評估受傷程度,采取最適合的治療方案,家長不必過度擔憂,采用正規治療后一般預后良好。
文稿:葉智蕾



